1.1) DEFINITION
Organiserende pneumoni (OP) er et uspecifikt inflammatorisk respons på lungeskade med et karakteristisk radiologisk og histopatologisk mønster med samtidig involvering af både respiratoriske bronkioler og alveoler.
OP er tidligere blevet kaldt bronkiolitis obliterans (BO) med OP (BOOP), men grundet forveksling med BO – som er en separat sygdom – er denne nomenklatur aflagt.
OP betegnes som sekundær ved kendt ætiologi og som kryptogen såfremt ingen ætiologi påvises. Kryptogen OP (COP) er således en udelukkelsesdiagnose, hvor det er afgørende, at grundig udredning har usandsynliggjort den brede vifte af mulige årsager til OP, før diagnosen COP kan stilles.
1.2) FOREKOMST
OP ses sjældent hos personer < 50 år. Den årlige incidens er anslået til 1 per 100.000, men er ikke fastslået i en dansk/skandinavisk sammenhæng og er sandsynligvis langt hyppigere.
1.3) ÆTIOLOGI
OP kan ses sekundært til en lang række sygdomme og tilstande, herunder infektiøse, autoimmunne og maligne årsager samt inhalerede eksponeringer.
OP kan endvidere ses samtidig med andre sygdomsmønstre ved interstitielle lungesygdomme (ILS), f.eks. ved non-specifik interstitiel pneumonitis (NSIP), hypersensitivitetspneumonitis (HP) og akut exacerbation af alle former for interstitiel lungesygdom (AE-ILS).
TABEL 1: Oversigt over væsentligste sekundære årsager til OP. Tabellen er ikke udtømmende. Modificeret fra Raghu G. et al.:
| Sekundære årsager til organiserende pneumoni |
|
|
|
|
|
|
|
|
|
|
|
|
|
|
|
|
|
1.4) SYMPTOMER
De hyppigste symptomer er persisterende oftest tør hoste med ledsagende feber, træthed, vægttab, almen sygdomsfølelse og funktionsdyspnø.
Ved sekundære former for OP kan der samtidig være symptomer relateret til den årsagsgivende ætiologi.
Patienter kan præsentere sig med akut respirationsinsufficiens og med akut respiratorisk distress syndrom (ARDS).
Flygtige lungeinfiltrater hos en patient med pneumoniske symptomer, der ikke responderer på relevant antibiotisk behandling, bør lede tankerne hen på OP.
1.5) KLINISKE FUND
1.5.1 Objektivt:
Inspiratorisk krepitation kan høres ved lungestetoskopi, men undersøgelsen kan også være normal. Pibelyde høres sjældent, ligesom der sjældent ses clubbing.
1.5.2 Lungefunktionstests:
Vil oftest vise normal eller restriktivt nedsat ventilationskapacitet og nedsat diffusionskapacitet (DLCO).
1.5.3 Biokemi:
Blodprøver kan vise inflammation med leukocytose og forhøjet CRP.
1.5.4 Radiologi:
Der er overlappende fund ved forskellige radiologiske billedmodaliteter.
De hyppigste fund er subpleurale eller peribronkiale diffuse alveolære konsolideringer, ofte multiple og forekommende i flere lapper, der kan progrediere, regrediere og migrere over tid. Konsolideringerne kan være unilaterale og bilaterale og kan ses i alle lungezoner, men midt-zone og basale zoner er hyppigst. Der kan ses nodulære forandringer, typisk peribronkialt og peribronkiolært.
Revers halo-tegn (også kaldet atoll-tegn) beskriver et infiltrat med central matglastegning og ringformet konsolidering, som ses hos ca. 20% af patienter med OP, men er et fund med høj specificitet.
Tabel 2 viser en oversigt over HRCT-mønstre ved OP.
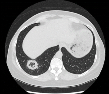
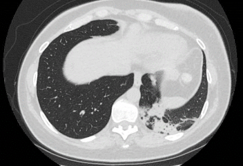
Figur 1 og 2 viser eksempel på hhv. revers halo-tegn og subpleurale konsolideringer på HRCT.
Tabel 2: Oversigt over HRCT-fund ved OP. Modificeret fra Raghu G. et al.:
| Mønster | Lokalisation |
| Konsolidering | – Subpleuralt og/eller peribronkialt – Overvejende i midterste til nedre lungesegmenter – Kan være perilobulær – Opaciteter kan migrere, svinge i udbredelse eller forsvinde – Spontan regression kan forekomme – Kombination af bilateral subpleural konsolidering og midt- til nedre zone-prædominans ses hos de fleste patienter |
| Andre mønstre | – Fokal præsentation med enkelt nodulus eller masse – Nodulær (variabel størrelse, solitær eller multiple) – Revers halo-tegn (matglastegning omgivet af ringformet konsolidering). – Matglastegning (bilateral, pletvis, ses hos op til 90 % ved OP) – Parenkymale bånd (ofte med multifokale konsolideringer) – Perilobulært mønster (bueformede eller polygonale opaciteter langs sekundære lobuli) |
| Fibrotisk mønster | – Retikulære opaciteter med basal prædominans – Arkitektonisk distortion – Bikagetegning – Traktionsbronkiektasier |
| Sjældne forandringer | – Diffuse mikronoduli (centrilobulære eller peribronkiale) – Forstørrelse af mediastinale lymfeknuder – Pleuraeffusion |
1.5.5 Cyto-histopatologi:
Bronkoalveolær lavage (BAL) ses typisk med øget antal inflammatoriske celler (lymfocytter, neutrofile granulocytter og eosinofile granulocytter), men fundene er ikke specifikke for OP.
Ved fund af betydelig eosinofili (> 25%) er eosinofil pneumoni en sandsynlig differentialdiagnose. Fravær af eosinofili taler imod eosinofil pneumoni, men udelukker ikke dette, især ved forudgående steroidbehandling.
Histopatologisk ses inflammatoriske celler med infiltration af det alveolære interstitium og lækage ud i de terminale luftveje med dannelse af løse intraalveolære fibroblastiske polypper. Der ses ofte let grad af interstitiel inflammation.
Senere ses migration af fibroblaster til de alveolære rum, hvor der dannes myofibroblaster, der gradvist danner bindevævsmatrix med overvejende type III kollagen, der bliver kapillariseret og med aftagende infiltration af inflammatoriske celler. I modsætning til usual interstitial pneumoni (UIP) ses generelt bevaret histologisk arkitektur og fravær af dannelsen af hyalinmembraner.
Seneste ERS/ATS-statement vedrørende ny klassifikation af interstitielle pneumonier (IP) underinddeler nu OP i 3 histopatologiske kategorier:
- OP, som primær (kryptogen) og sekundær OP
- Akut fibrinøs OP (AFOP), som primær AFOP og sekundær AFOP
- Cicatriciel OP (CiOP), som primær CiOP og sekundær CiOP.
For 1, 2 og 3 gælder, at de sekundære årsager svarer til dem nævnt i tabel 1.
1.6) UDREDNING
Udredningen sigter primært mod at påvise radiologiske og histopatologiske mønstre foreneligt med OP samt afklaring af sekundære årsager til OP.
Ved mistanke om OP ud fra symptomer og billeddiagnostik laves initialt bred biokemisk og mikrobiologisk screening for infektion og tegn på reumatologisk sygdom samt uddybende anamnese med fokus på relevante eksponeringer.
Ved påvist OP-mønster anbefales supplerende bronkoskopi med BAL, mikrobiologisk udredning og evt. biopsi mhp. at differentiere fra andre sygdomme (infektion, malignitet) og andre former for ILS.
Hvis der ikke er fundet tegn på sekundær årsag til OP, og histopatologisk udredning er uden tegn på infektion, malignitet eller bindevævssygdom, kan diagnosen ’definite COP’ stilles. Ved fravær af histopatologisk materiale, men HRCT med OP-mønster bliver diagnosen ’højkonfident COP’.
1.6.1 Biokemi, herunder serologi og autoimmunologi:
Infektionstal, autoimmunologisk screening, immunoglobuliner og evt. svampe-serologi. Herudover ofte bred biokemisk screening til vurdering af organfunktioner. Præcipiterende IgG antistoffer mod potentiel udløsende årsag kan overvejes ved mistanke om HP, men er omdiskuteret.
1.6.2 Mikrobiologi:
Ekspektorat til dyrkning og resistensundersøgelse (D+R) og PCR-undersøgelse for atypisk agens samt viruspodning (f.eks. influenza, RS og COVID). Ved bronkoskopisk udredning laves BAL til bred mikrobiologisk diagnostik.
1.6.3 Lungefunktionsundersøgelser:
Spirometri med måling af FEV1 og FVC samt diffusionsundersøgelse med måling af DLCO.
Der kan suppleres med 6-minutters gangtest til afklaring af aktivitetsudløst hypoksæmi.
1.6.4 Billeddiagnostik:
HRCT med in- og ekspiratoriske optagelser i rygleje er guldstandard for korrekt identifikation af et radiologisk OP-mønster. I klinisk praksis kan typisk OP-mønster også erkendes på konventionel CT med og uden kontrast.
1.6.5 Cyto-histopatologi:
Bronkoskopi udføres mhp. BAL til celletælling (leukocyt differentialtælling) udover bred mikrobiologisk diagnostik.
Histopatologi er relevant hos patienter med radiologisk OP, hvor de indledende undersøgelser for sekundære årsager til OP er inkonklusive.
Transbronkiale kryobiopsier (TBCB) giver større biopsier og færre knusningsartefakter end transbronkiale tangbiopsier og foretrækkes om muligt. Ved forandringer, der ikke kan biopteres bronkoskopisk, kan CT- eller UL-vejledte transthorakale biopsier være en mulighed, og i sjældne tilfælde kan der være behov for kirurgiske lungebiopsier for at stille diagnosen.
1.6.6 Multidisciplinært team (MDT):
Patienter med radiologisk OP-mønster anbefales vurderet ved MDT-konference bestående af lungemediciner, thoraxradiolog og evt. reumatolog og patolog.
1.7) DIFFERENTIAL DIAGNOSER
Væsentligste differentialdiagnoser er infektiøs pneumoni, lungecancer, eosinofil pneumoni (se separat retningslinje om eosinofile lungesygdomme) samt pulmonal vaskulit og pulmonal blødning, der alle radiologisk kan forveksles med OP.
1.8) BEHANDLING
1.8.1 Prednisolon
OP responderer ofte på steroid-behandling og komplet radiologisk resolution kan ses efter 3 måneders behandling.
Der er dog høj risiko for relaps, hvorfor der ofte vil være behov for mindst 6-12 måneders behandling.
Ved sekundære former for OP bør behandling af den tilgrundliggende ætiologi initieres samtidig med steroidbehandling.
Der er ikke udført randomiserede kliniske studier til afklaring af steroiddosis og behandlingsvarighed. Et studie af Lazor R. et al fandt ingen øget recidivrate ved en standardiseret plan for steroidbehandling, men halverede den kumulative steroiddosis sammenholdt mod andre behandlingsregimer.
Der foreslås behandling af OP ud fra algoritme anført i Tabel 3.
TABEL 3: Forslag til behandlingsdoser af prednisolon
| Dosis (Prednisolon) | Varighed |
| 0,75 mg/kg/dag* | 4 uger |
| 0,5 mg/kg/dag | 4 uger |
| 20 mg/dag | 4 uger |
| 10 mg/dag | 6 uger |
| 5 mg/dag | 6 uger – 6 måneder* |
*Ved stabile forhold kan startdosis formentlig initieres ved 0,5 mg Prednisolon per kg per dag. Overordnet skal behandlingslængde individualiseres ud fra samlede kliniske billede og vigtigst er gradvis og tålmodig nedtrapning.
1.8.2 Farmakologisk behandling med makrolid:
Flere små observationelle studier har foreslået behandling med makrolider, både som monoterapi og i kombination med steroid ved mild OP, men på grund af manglende kontrollerede studier anbefales dette ikke som standardbehandling på nuværende tidspunkt.
1.8.3 Farmakologisk steroid-besparende behandling:
Steroid-besparende medicin i form af cyclofosfamid og azathioprin har i kliniske studier ikke kunnet vise signifikant behandlingseffekt hos patienter med svær sygdom.
1.9) EFTERKONTROL
Organiserende pneumoni bør følges regelmæssigt i lungemedicinsk regi. Hyppighed for kontrol må vurderes individuelt afhængig af sværhedsgrad og behandling. Typisk ses patienten hver 3. måned det første halve år. Herefter længere intervaller. Fokus ved kontroller skal bl.a. være på udvikling af symptomer på underliggende bindevævssygdom.
Hos patienter med sekundær OP som manifestation af reumatologisk sygdom bør behandlingen oftest varetages i samarbejde med reumatologisk afdeling.
1.10) PROGNOSE
Prognosen er generelt god ved OP, idet tilstanden ofte responderer godt på steroidbehandling.
Klinisk bedring ses som regel inden for få dage efter opstart af behandling med steroid, og fuld klinisk restitution med normalisering af radiologiske forhold opnås hos størstedelen af patienterne.
Relaps er dog hyppigt forekommende og ses især ved hurtig nedtrapning og ved behandlingsvarighed < 6 måneder, selv ved forudgående komplet radiologisk remission.
Få patienter udvikler fibrose ved OP, hvilket betegnes fibrotisk OP og er hyppigst forekommende ved OP som led i et interstitielt blandingsmønster med f.eks. NSIP eller UIP.
Progressiv fibrose er yderst sjældent forekommende.
1.9) REFERENCER
- Raghu G, Meyer KC. Cryptogenic organising pneumonia: current understanding of an enigmatic lung disease. Eur Respir Rev. 2021;30(161).
- Cordier JF, Cottin V, Lazor R, Thivolet-Béjui F. Many Faces of Bronchiolitis and Organizing Pneumonia. Semin Respir Crit Care Med. 2016;37(3):421-40.
- Faria IM, Zanetti G, Barreto MM, Rodrigues RS, Araujo-Neto CA, Silva JL, et al. Organizing pneumonia: chest HRCT findings. J Bras Pneumol. 2015;41(3):231-7.
- Cordier JF. Cryptogenic organising pneumonia. Eur Respir J. 2006;28(2):422-46.
- Ryerson CJ, Adegunsoye A, Piciucchi S, Hariri LP, Khor YH, Wijsenbeek MS, et al. Update of the International Multidisciplinary Classification of the Interstitial Pneumonias: An ERS/ATS Statement. Eur Respir J. 2025.
- Lazor R, Vandevenne A, Pelletier A, Leclerc P, Court-Fortune I, Cordier JF. Cryptogenic organizing pneumonia. Characteristics of relapses in a series of 48 patients. The Groupe d’Etudes et de Recherche sur les Maladles “Orphelines” Pulmonaires (GERM”O”P). Am J Respir Crit Care Med. 2000;162(2 Pt 1):571-7.
- Radzikowska E, Wiatr E, Langfort R, Bestry I, Skoczylas A, Szczepulska-Wójcik E, et al. Cryptogenic organizing pneumonia-Results of treatment with clarithromycin versus corticosteroids-Observational study. PLoS One. 2017;12(9):e0184739
FIGURER
Figur 1: Aksialt HRCT-billede med revers halo-tegn (’atoll tegn’) i højre underlap præsenteret ved ringformet konsolidering med central matglastegning.

Figur 2: Aksialt HRCT-billede med subpleurale konsolideringer og perilobulært mønster i venstre underlap.
