1.0. GENERELT
Eosinofile lungesygdomme er en gruppe af diffuse parenkymatøse lungesygdomme karakteriseret ved markant infiltration af eosinofile granulocytter i lungeparenkym og luftveje, abnorm lungeradiologi og lungesymptomer. Asymptomatiske tilfælde forekommer men er sjældne.
- Perifer eosinofili kan ses ved de fleste lungesygdomme (KOL, astma (indsæt link til ABPA rettningslinje), TB, lungekræft). Eosinofili er en driver-mekanisme ved nogle lungesygdomme, men ikke ved andre.
Denne retningslinje fokuserer alene på eosinofile pneumonier, hvor formålet med denne er:
at give læser beslutningsstøtte til at udrede patienter med mistanke om eosinofil pneumoni - at komme med behandlingsanbefaling ved de enkelte undertyper af eosinofile pneumonier.
1.1. BAGGRUND
Eosinofile granulocytter er myeloide celler og en del af det innate immunforsvar. Ved aktivering secerneres granula med et stort og varieret indhold af både cytotoxiske og pro-inflammatoriske cytokiner.
Perifer eosinofili (> 0,5 x 109/L blod) er hyppigt forekommende og ses ved mange forskellige sygdomme uden dog at være patognomonisk for lungesygdom.
Perifer eosinofili kan opdeles i:
mild: 0,5–1,5 x 109/L
moderat: 1,5–5,0 x 109/L
svær: > 5,0 x 109/L
Følgende punkter er centrale i vurdering af patienten med perifer eosinofili:
- Perifer eosinofili kan være associeret til eller en konsekvens af lungesygdomme.
- Graden af perifer eosinofili afspejler ikke graden af eosinofil inflammation i lungeparenkymet
- Pulmonal eosinofili kvantiteres ved celletælling af bronkoalveolær lavage (BAL). BAL eosinofili defineres ved > 25% eosinofile celler ved differentialcelletælling i BAL).
- Udredning og behandling retter sig både mod primær årsag og mod eosinofili per se.
- Hypereosinofili er associeret til multi-organ symptomer og kan kræve behandling uanset sværhedsgrad af lungesygdom.
1.2. INDDELING
Der findes ikke en enkelt internationalt anerkendt klassifikation af eosinofile lungesygdomme. Hyppigst anvendes en klassifikation defineret ved lokalisation (luftveje versus parenkym) og genese defineret som primær ved uerkendt (idiopatisk) årsag/tilstand versus sekundær ved kendt -udløsende årsag/tilstand (se Figur 1). Som anført vedrører denne retningslinje eosinofile pneumonier , der kategoriseres som primære (idiopatiske) parenkymatøse subtyper af eosinofil lungesygdom.

Figur 1: Inddeling af sygdomme og påvirkninger der kan medføre eosinofil inflammation i luftveje (som ikke i øvrigt omtales i denne instruks) og lungeparenkym. Listen over lægemidler og infektioner er ikke komplet. ABPA: Allergisk bronkopulmonal aspergillose. ABPM: Allergisk bronkopulmonal mykose. PCP: Pneumocystis jirovecii pneumoni. ASA: Acetylsalicylsyre. MTX: Methotrexat. (C)OP: (Kryptogen) organiserende pneumonitis. PLCH: Pulmonal Langerhans celle histiocytose. IPF: Idiopatisk pulmonal fibrose. iAEP: Idiopatisk akut eosinofil pneumoni, iCEP: Idiopatisk kronisk eosinofil pneumoni. EGPA: Eosinofil granulomatose med polyangiitis. HES: Hypereosinofilt syndrom. BO: Bronchiolitis obliterans.
1.3. UDREDNING
Patienten med respiratoriske symptomer, lungeinfiltrater af evt. flygtig karaktér, og perifer eosinofili bør udredes grundigt. Anamnese og den kliniske tilstand (f.eks. graden af respirations-insufficiens) er afgørende for udrednings- og behandlingsstrategi og hastighed.
Udredning kan kræve involvering af flere specialer.
1.3.1 Anamnese
- Medikamentelt induceret eosinofili er hyppigst, hvorfor fokus på medicingennemgang. På www.pneumotox.com findes opdateret liste over lungebivirkninger.
- Rejser, specielt i troperne. Husk at orme- og parasitær infektion kan ligge år tilbage.
- Akut eller kronisk forløb.Eksisterende sygdom, herunder astma, urtikaria, nasale polypper og atopi.
- Symptomer fra andre organer såsom CNS, PNS, hjerte, mave-tarm, led, muskler, B-symptomer m.m.
1.3.2 Klinik
Pulmonal involvering:
- Respiratoriske symptomer, typisk dyspnø og hoste. Brystsmerter og hæmoptyse kan forekomme, men sjældent
- Pulmonale infiltrater (HRCT, CT, røntgen)
Ekstrapulmonal involvering:
- CNS: Encefalopati, kranienerveparese
- PNS: Perifer neuropati, mononeuritis multiplex førende til polyneuropati
- Hjerte: Eosinofil myokarditis, restriktiv kardio-myopati, mitralinsufficiens, perikardie-effusion
- Hud: Palpabel purpura, vaskulitis, urticaria/ angioødem
- Mavetarm: Øvre/nedre dyspepsi, diaré, organ-perforation
- Koagulation: Tromboemboli
- Nyrer: Glomerulonefritis
1.3.3 Paraklinik: biokemi, cytology og mikrobiologi
- Blodprøver: Hgb, trombocytter, leukocytter + diff. tælling, leverenzymer, nyretal, troponin, total IgE, ANA, ANCA. Quantiferon/T-spot/Mantoux
- EKG
- Bronkoskopi: BAL med celletælling anbefales, og kombination med histologisk prøvetagning
- bør overvejes (TBB eller evt. TBCB), og især i differentialdiagnostisk øjemed ved f.eks. mistænkt vaskulær sygdom (f.eks. EGPA), hvor den perivaskulære infiltration af eosinofile celler kan visualiseres med biopsi
- Dyrkning, mikroskopi og serologi for mikro-organismer
1.3.4 Diagnostiske tests
- Spirometri inkl. diffusion
- Ekkokardiografi (hvis kardial involvering)
- Endoskopi/gastroenterologisk vurdering (hvis mave-tarm involvering)
1.3.5 Billeddiagnostik
- HRCT m.h.p. karakteristik af mønstre og udbredelse ved udredning.
- MR cerebrum (hvis CNS involvering)
1.4. BEHANDLING
Formål:
- Inducere remission af sygdommen.
- Reducere risikoen for recidiv.
Ved moderat eosinofili (> 1,5 x 109/L) og tegn på eosinofil organpåvirkning anbefales systemisk glukokortikoid hurtigst muligt. Såfremt den kliniske tilstand tillader det, bør det dog tilstræbes at afvente opstart af behandling indtil relevant udredning er udført. Denne foretages typisk i hæmatologisk regi eller i samarbejde med hæmatologer.
Behandlingen afhænger af den tilgrundliggende årsag, f.eks. seponering af farmaka, behandling af infektioner, cancer etc., mens de idiopatiske tilstande primært behandles med glukokortikoider.
Glukokortikoider startes kun ved organpåvirkning jf. ovenstående.
OBS: I det efterfølgende omtales alene de idiopatiske eosinofile pneumonier samt eosinofile pneumonier associeret med vaskulitsygdom.
1.5. IDIOPATISK AKUT EOSINOFIL PNEUMONI (iAEP)
1.6.1 Definition og forekomst
iAEP kan være årsag til akut og svært respiratorisk svigt hos tidligere lungeraske personer.
- Sjælden med incidens 9,1 per 100.000.
- Hyppigst hos 20-40-årige (alle aldersgrupper dog beskrevet).
- Mænd:kvinder i forhold 2:1.
- 2/3 er rygere.
- Ingen association til astma.
Diagnosen iAEP forudsætter:
- Kortvarig febrilia (oftest < 1 uge)
- Progressiv hypoxisk respiratorisk svigt
- Diffuse lungeinfiltrater på røntgen
- BAL: Eosinofili > 25 % af samlet celletal
- Monoorgansygdom
- Fravær af kendte årsager til eosinofili og pneumoni
- Eklatant effekt af steroidbehandling
1.6.2 Ætiologi
Ukendt, men nylig start af tobaksrygning, genop-tagelse af tidligere tobaksrygning eller e-cigaretter, røg- eller støvudsættelse er alle risiko-faktorer associeret til udvikling af iAEP.
1.6.3 Symptomer og kliniske fund
Debutsymptomer er uspecifikke som f.eks. akut indsættende feber, dyspnø og non-produktiv hoste,
ofte almen utilpashed, myalgier, nattesved og respirationssynkrone smerter. Typisk progredierer iAEP til respiratorisk svigt med behov for mekanisk ventilation.
Objektivt: Feber, takypnø, hypoxæmi, og bibasal krepitation.
Paraklinisk: Initialt neutrofil leukocytose og normale eosinofile, senere kan der forekomme svær perifer eosinofili. CRP vil typisk være forhøjede.
Røntgen af thorax: Ofte konfluerende og konsoliderede bilaterale infiltrater, Pleuraeffusion (ofte beskeden og bilateral).
HRCT: Overlappende fund i forhold til røntgen af thorax. Der kan desuden ses interlobulær septal fortykkelse, bilateral matglastegning, konsoliderede infiltrater, fortykkede bronkosvaskulære bundter, centrilobulære noduli, konsolidering af luftveje samt evt. pleuraeffusion (se Figur 2).
Lungefunktionsundersøgelse: Overvejende restriktivt ventilationsmønster og nedsat DLCO.
Bronkoskopi: Ofte makroskopisk upåfaldende men BAL med eosinofili > 25 %.

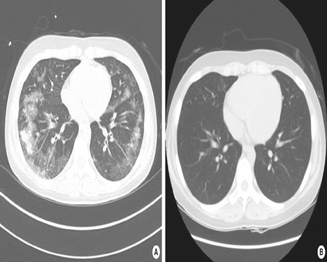
Figur 2: Patient med akut eosinofil pneumoni. Ved indlæggelse (A), og ved opfølgning efter 8 uger (B). Med tilladelse fra patient.
1.6.4 Udredning
Udredningen retter sig primært mod afklaring af langt hyppigere differentialdiagnoser til febrilia og progredierende respiratorisk svigt. Non-infektiøs genese overvejes, når bedring udebliver trods relevant antibiotisk behandling og almen stabilisering, og her er HRCT central til afklaring af differentialdiagnoser som f.eks. hypersensitivitetspneumonitis, organiserende pneumonitis (OP) eller drug-induced interstitiel lungesygdom (DI-ILD) som følge af lægemiddelreaktion. Grundig anamnese inkl. eksponering for partikler er central.
1.6.5 Behandling
Der foreligger ingen randomiserede, kontrollerede studier, der specifikt vejleder behandlingen af AEP. Initial håndtering af AEP omfatter ilt og eventuel mekanisk ventilation ved respirationsinsufficiens. Empirisk antibiotikabehandling initieres ofte, indtil diagnosen AEP er bekræftet, og infektiøse årsager er udelukket. AEP responderer typisk hurtigt på systemisk kortikosteroid behandling med markant klinisk bedring inden for 1–2 døgn, herunder reduktion af iltbehov og ophør af behov for mekanisk ventilation. Hos patienter i respirator anbefales intravenøs methylprednisolon 60–125 mg hver 6. time i op til 3 døgn, indtil klinisk bedring og ekstubation. Herefter overgås til peroral prednisolon 40–60 mg dagligt (eller ækvivalent dosis) med gradvis nedtrapning over 6–12 uger.
På baggrund af lokal erfaring anbefales dog fortsat det klassiske behandlingsregime med samlet varighed på 6–12 uger. Der anbefales permanent rygeophør.
1.6.6. Efterkontrol
Prognosen er god, når behandling institueres. Herudover er prognosen god med normalisering af lungefunktion og uden sequelae eller recidiv trods evt. respiratorbehandlet svært respiratorisk svigt. Erfaring savnes vedr. anbefalet follow-up varighed, som må foretages på individuel basis.
1.5. IDIOPATISK KRONISK EOSINOFIL PNEUMONI (iCEP)
1.5.1 Definition og forekomst
iCEP er den hyppigst forekommende primære eosinofile pneumoni uden for tropiske områder, hvor parasitrelateret eosinofil lungesygdom dominerer.
- iCEP er en udelukkelsesdiagnose.
- Sjælden
- Hyppigere hos kvinder og midaldernde
- Over 50% har kendt astma, og ca. 50% er kendt med atopi, lægemiddelallergi, nasalpolypper eller urtikaria
- Ikke associeret til tobaksrygning som ved iAEP
1.5.2 Ætiologi
Mekanismen er ukendt. iCEP er en eksklusiondiagnose, hvorfor sekundære eosinofile pneumonier bør udelukkes.
1.5.3 Symptomer og kliniske fund
Sygdomsbilledet er oftest langtrukkent med feber, vægttab, nattesved og åndenød. Symptomerne er ofte svære, men ikke livstruende.
De diagnostiske kriterier er ikke veldefinerede, men diagnosen forudsætter:
- Relevant anamnese (se ovenfor)
- Blod: Perifier eosinofili
- BAL: Eosinofili > 25%
- Røntgen af thorax/HRCT: Perifere, migrerende infiltrater adskilt af matglastegning og normalt lungevæv. Infiltrater (evt. migrerende) ses ofte apikalt eller perifert beliggende. Det radiologiske fund ”fotografisk negativ af lungeødem” ses hos ca. 25% med iCEP (se Figur 3).
- Lungefunktionsundersøgelse: Varierende mønster. Oftest nedsat DLCO.
- Ved bronkoskopi kan undertiden findes svære mukusplugs
1.5.4 Udredning
Udredningen retter sig primært mod afklaring af differentialdiagnoser til almensymptomer og pulmonale infiltrater (f.eks. malignitet, infektioner (f.eks. parasitter), pulmonal sarkoidose, OP og toksiske årsager) og indbefatter bl.a. leukocyt-differentialtælling, HRCT og bronkoskopi med BAL til celletælling. Grundig medicinanamnese er fundamental.
NB: Fravær af eosinofili i BAL eller perifer eosinofili kan skyldes forudgående behandling med glukokortikosteroid.
1.5.5 Behandling
Initial behandling:
Prednisolon:
Behandlingsstrategien afhænger af sygdommens sværhedsgrad og kliniske forløb, og der findes ingen standardiserede retningslinjer. Klinisk bedring ses oftest inden for 48 timer efter behandlingsstart.
Behandlingen initieres sædvanligvis med peroral prednisolon i dosis på ca. 1 mg/kg/døgn (eller ækvivalent dosis), som opretholdes i 4–6 uger og herefter langsomt nedtrappes.
Recidiv og behandlingsvarighed
Op mod 80 % af patienterne oplever klinisk eller radiologisk recidiv efter ophør med steroidbehandling, hvilket er karakteristisk for CEP. Der anbefales derfor tæt klinisk opfølgning og gradvis nedtrapning af behandlingen.
Ved vedligeholdelsesbehandling anbefales langsom nedtrapning af prednisolon over en periode på 6–12 måneder.
Vurdering af behandlingsrespons
Behandlingsrespons vurderes ud fra klinisk bedring, regress af radiologiske infiltrater samt normalisering af blodets eosinofiltal. Overvågning af lungefunktion kan anvendes som et objektivt mål for sygdomsaktivitet og behandlingsrespons.
Over 50 % af patienterne er fortsat i behandling med steroider ved 1-års opfølgning.
Anden behandling:
- Off-label brug af Mepolizumab (IL-5 inhibitor), og Benralizumab (IL-5 receptorantagonist) er i case reports ved iCEP vist at reducere symptomer, recidiv og steroidbehov og bedre lungefunktom og radiologi. Brug af disse behandling bør diskuteres i ekspertcenterne på individual patientniveau.
1.5.6 Efterkontrol
Prognosen er god. Imidlertid kan vedvarende obstruktion trods behandling ses hos nogle patienter, hvor der kan være behov for langtidsbehandling op til flere år og således også behov for længerevarende opfølgning.

Figur 3: HRCT thorax: Patient med iCEP. Bemærk de klassiske perifere infiltrater. Med tilladelse fra patient.
1.6. EOSINOFIL GRANULOMATOSE MED POLYANGIITIS (EGPA (tidligere ”Churg-Strauss”))
1.6.1 Definition og forekomst
EGPA er en autoimmun lidelse, der sammen med sygdommene granulomatose med polyangiitis (GPA: tidligere ”Wegeners granulomatose”) og mikroskopisk polyangiitis (MPA) udgør sygdomsgruppen antineutrofil cytoplasmisk antistof (ANCA)-associerede vaskulitter (AAV). Astma forekommer hos alle patienter, mens kronisk rhinitis ses hos 75%. Allergi synes at styrke diagnosen.
EGPA er en sjælden lidelse med en årlig incidens på ca. 0,5-6,8 per million.
Traditionelt er lidelsen karakteriseret ved følgende kriterier:
- Astma og rhinosinusitis
- Eosinofili:
- Blod > 1,5 x 109 /L i blod og/eller
- BAL > 25%
- Lungebiopsi med extravaskulær eosinofilocyt infiltration
- Extrapulmonal manifestation (≥ 1):
- Extrapulmonal biopsi med vaskulitis (hud, muskel, nerve, nasalmukosa, sinusmukosa)
- Mononeuritis multiplex
- Palpabel purpura
- Kardiomyopati
Positiv ANCA (PR3 el MPO)
1.6.2 Ætiologi
ANCA spiller en vigtig rolle for sygdomsudviklingen. Antistofferne medfører degranulering af de neutrofile granulocytter og dermed endotelskade. Der er en mulig arvelig komponent i sygdomsudviklingen.
1.6.3 Symptomer og kliniske fund
Sygdommen præsenterer sig i 3 faser: 1. fase består af prodromalsymptomer med astma og rhinit og evt. sinuitlignende symptomer. 2. fase inkluderer perifer eosinofili og migrerende eosinofil infiltration i organer såsom lunger, hjerte, og mave-tarm kanalen. 3. fase er vaskulit-fasen med almensymptomer i form af træthed, anorexi, feber, muskel- og ledsmerter. Fra og med 2. fase kan der forekomme svær multiorganpåvirkning.
1.6.4 Udredning
Som ved øvrige lungesygdomme med præsentation af perifer eosinofili. Specielt ANCA mod myeloperoxidase (MPO) og proteinase-3 (PR3) er relevante ved AAV, men hos ca. 50% præsenterer EGPA sig med negativ ANCA.
Typisk varetages udredning og behandling af reumatologer eller nefrologer afhængig af, hvilket eller hvilke organer der er mest påvirkede. Oftest foregår det i tæt multidisciplinært samarbejde, hvor lungemedicinere involveres ved pulmonal manifestation. Andre specialer såsom kardiologi og neurologi bør ofte involveres i udredningen. Særlig tilrådes kardiologisk udredning, da der kan forekomme hjertesvigt pga. eosinofil myokardit eller arteriitis i koronarkarrene. Den kardielle involvering forværrer den overordnede prognose betydeligt, og kan gå fra at være asymptomatisk til at resultere i pludselig akut kardial sygdom.
1.6.5 Behandling
Behandlingen bør altid foregå i samarbejde med reumatologi og øvrige relevante specialer.
Initialbehandling består af systemisk glukokortikoid i form af methylprednisolon bolus (15 mg/kg/dag) i 1-3 dage, efterfulgt af tbl. Prednisolon 1 mg/kg/dag i 3-4 uger. Herefter nedtrapning til vedligeholdelsesbehandling med tbl. Prednisolon 10-15 mg dagligt i op til et år. Mepolizumab (anti-IL5) er desuden godkendt som tillægsbehandling til patienter over 6 år med recidiverende eller refraktær EGPA. Reslizumab og benralizumab har også steroid besparende effekt i patienter med EGPA. Endvidere kan tillæg af Cyclofosfamid eller Rituximab anvendes ved svær generaliseret sygdom. Ofte suppleres med Azathioprin som recidivprofylakse i 18-24 mdr. efter remission.
1.6.6 Efterkontrol
5-års overlevelsen er op til 95%, men idet der er risiko for recidiv bør patienterne følges tæt af alle relevante specialer som reumatologi og kardiologi.
1.7. HYPEREOSINOFILT SYNDROM (HES)
HES er en heterogen gruppe af sygdomme defineret ved:
- Moderat/svær hypereosinofili (> 1,5 x 109/ml) ved to uafhængige målinger i > 6 måneder og/eller
- Tegn på eosinofil organpåvirkning
- Eksklusion af kendt årsag til eosinofili (se figur 1)
Prævalens og incidens er ukendt, men HES er et sjældent syndrom som hyppigst rammer personer i alderen 20-60 år. HES dækker over flere sygdomskategorier med meget forskellig prognose, herunder flere maligne hæmatologiske lidelser, hvorfor hæmatologisk vurdering af patienten anbefales tidligt i forløbet.
Ved HES er også Mepolizumab indiceret som en tillægsbehandling til voksne patienter med utilstrækkeligt kontrolleret HES uden en identificerbar ikke-hæmatologisk sekundær årsag, og denne har
vist lovende resultater i.f.a. hurtigere opnået sygdomskontrol, reduceret perifer eosinofili samt mulighed for reduceret dosis af systemisk glukokortikosteroid.
Der er oprettet formaliseret samarbejde med højtspecialiseret funktion vedrørende udredning og behandling af HES ved hhv. Center for EOSinofili (OUH/CEOS) for Vestdanmark på Odense Universitetshospital, og Center for EOSinofili (RHEOS) for Østdanmark ved RigsHospitalet.
1.8. REFERENCER
- Cottin V. Eosinophilic Lung Diseases. Clin Chest Med. 2016;37(3):535-56. doi: 10.1016/j.ccm.2016.04.015. Epub 2016 Jun 25. PMID: 27514599.
- Jackson DJ, Wechsler ME, Eosinophilic Lung Diseases. ERS Monograph European Respiratory Society; 2022.
- Wechsler ME. Pulmonary eosinophilic syn-dromes. Allergy Clin. North Am. 2007; 27:477-92.4. Alam M, Burki NK. Chronic eosinophilic pneumonia: a review. South. Med. J. 2007;100: 49-53.
- Fernández Pérez ER, Olson AL, Frankel SK. Eosinophilic lung diseases. Med Clin North Am. 2011;95:1163-87.
- Hougaard M, Thomsen GN, Kristensen TK, Lindegaard HM, Davidsen JR, Hartmeyer GN, Kjeldsen AD, Martin-Iguacel R, Maiborg M, Assing K, Andersen CL, Broesby-Olsen S, Møller MB, Vestergaard H, Bjerrum OW. A retrospective cohort study of patients with eosinophilia referred to a tertiary centre. Dan Med J 2022;69:A07210558.
- Thomsen GN, Christoffersen MN, Lindegaard HM, Davidsen JR, Hartmeyer GN, Assing K, Mortz CG, Martin-Iguacel R, Møller MB, Kjeldsen AD, Havelund T, El Fassi D, Broesby-Olsen S, Maiborg M, Johansson SL, Andersen CL, Vestergaard H and Bjerrum OW (2023) The multidisciplinary approach to eosinophilia. Oncol. 13:1193730. doi: 10.3389/fonc.2023.1193730